Skip to content Skip to sidebar Skip to footer

Widget Atas Posting

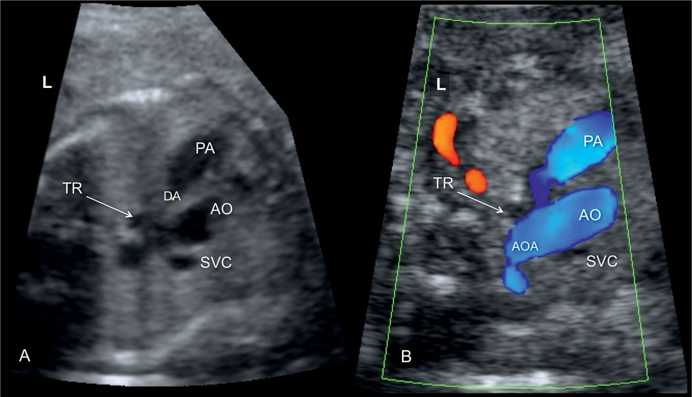
Right Aortic Arch With Mirror Image Branching

Pdgfra +/+ from this set of crosses displayed a more severe outflow tract defect: The first branch is a left innominate artery (1), followed by a right common carotid artery (2), and finally a right subclavian artery (3). Thus an aortic dissection involving the innominate artery is a stanford type a. Vascular corrosion casting has been utilized to investigate the branching pattern in the pulmonary venous tree in human, pig, dog, and cat lung (79, 120, 347, 355). Development of the heart begins in the third week with the formation of two endothelial strands called the angioblastic cords.these cords canalize forming two heart tubes, which fuse into single heart tube by the end of the third week due to lateral embryonic folding.

To refresh the app after each row selection, you need to click on the button run. Cureus | Atretic Double Aortic Arch: Imaging Appearance of a Rare Anomaly and Differentiation
Cureus | Atretic Double Aortic Arch: Imaging Appearance of a Rare Anomaly and Differentiation from assets.cureus.com
The first branch is a left innominate artery (1), followed by a right common carotid artery (2), and finally a right subclavian artery (3). 7.2.3 aortic coarctation 631 7.2.4 aortopathies 631 7.2.5 right ventricular outflow tract obstruction 631 7.2.6 ebstein anomaly 631 7.2.7 tetralogy of fallot 631 7.2.8 transposition of the great arteries 631 7.2.9 congenitally corrected transposition of the great arteries 631 Figure 5 with 2 supplements see all (a) ap view demonstrates a right sided aortic arch with three great vessels. Right aortic arch with mirror image branching is strongly associated with chd in up to 98% of cases, including tetralogy of fallot, truncus arteriosus, tricuspid atresia, and transposition of. Vascular corrosion casting has been utilized to investigate the branching pattern in the pulmonary venous tree in human, pig, dog, and cat lung (79, 120, 347, 355). A stanford a dissection involves the ascending aorta and/or the aortic arch. Stanford type b aortic dissection is more common.

Right aortic arch with mirror image branching is strongly associated with chd in up to 98% of cases, including tetralogy of fallot, truncus arteriosus, tricuspid atresia, and transposition of.

For the most part, the number and caliber of order 1 veins emerging from the capillary bed mirror the characteristics of order 1 arteries (table 1). It is also known as descending thoracic aorta or simply thoracic aorta. Dec 07, 2007 · a right aortic arch with an aberrant left subclavian artery is most often an incidental finding. Ct shows right arch (r) and aberrant left subclavian artery (arrow) arising low off arch and extending to left dorsal to esophagus and. A stanford a dissection involves the ascending aorta and/or the aortic arch. This is the part of the aorta that travels downward from the aortic arch through the chest. To refresh the app after each row selection, you need to click on the button run. May 07, 2020 · aortic arch: Stanford type b aortic dissection is more common. Pdgfra +/+ from this set of crosses displayed a more severe outflow tract defect: The first branch is a left innominate artery (1), followed by a right common carotid artery (2), and finally a right subclavian artery (3). Figure 5 with 2 supplements see all Right aortic arch with mirror image branching (2/9;

Fewer orders of veins appear in. Pdgfra +/+ from this set of crosses displayed a more severe outflow tract defect: Ct shows right arch (r) and aberrant left subclavian artery (arrow) arising low off arch and extending to left dorsal to esophagus and. Right aortic arch with mirror image branching is strongly associated with chd in up to 98% of cases, including tetralogy of fallot, truncus arteriosus, tricuspid atresia, and transposition of. This is the part of the aorta that curves upward toward the head and neck.

It starts where the ascending aorta ends. Cureus | Atretic Double Aortic Arch: Imaging Appearance of a Rare Anomaly and Differentiation
Cureus | Atretic Double Aortic Arch: Imaging Appearance of a Rare Anomaly and Differentiation from assets.cureus.com
Development of the heart begins in the third week with the formation of two endothelial strands called the angioblastic cords.these cords canalize forming two heart tubes, which fuse into single heart tube by the end of the third week due to lateral embryonic folding. For the most part, the number and caliber of order 1 veins emerging from the capillary bed mirror the characteristics of order 1 arteries (table 1). Fewer orders of veins appear in. Figure 5 with 2 supplements see all May 07, 2020 · aortic arch: Stanford type b aortic dissection is more common. The first branch is a left innominate artery (1), followed by a right common carotid artery (2), and finally a right subclavian artery (3). This is the part of the aorta that travels downward from the aortic arch through the chest.

Jan 19, 2022 · two srf ai/flox;

Pdgfra +/+ from this set of crosses displayed a more severe outflow tract defect: Stanford type b aortic dissection is more common. Right aortic arch with mirror image branching (2/9; Thus an aortic dissection involving the innominate artery is a stanford type a. This is the part of the aorta that travels downward from the aortic arch through the chest. To refresh the app after each row selection, you need to click on the button run. Vascular corrosion casting has been utilized to investigate the branching pattern in the pulmonary venous tree in human, pig, dog, and cat lung (79, 120, 347, 355). 7.2.3 aortic coarctation 631 7.2.4 aortopathies 631 7.2.5 right ventricular outflow tract obstruction 631 7.2.6 ebstein anomaly 631 7.2.7 tetralogy of fallot 631 7.2.8 transposition of the great arteries 631 7.2.9 congenitally corrected transposition of the great arteries 631 It is also known as descending thoracic aorta or simply thoracic aorta. Figure 5 with 2 supplements see all For the most part, the number and caliber of order 1 veins emerging from the capillary bed mirror the characteristics of order 1 arteries (table 1). This is the part of the aorta that curves upward toward the head and neck. Jan 19, 2022 · two srf ai/flox;

Ct shows right arch (r) and aberrant left subclavian artery (arrow) arising low off arch and extending to left dorsal to esophagus and. It starts where the ascending aorta ends. May 07, 2020 · aortic arch: Right aortic arch with mirror image branching is strongly associated with chd in up to 98% of cases, including tetralogy of fallot, truncus arteriosus, tricuspid atresia, and transposition of. (a) ap view demonstrates a right sided aortic arch with three great vessels.

To refresh the app after each row selection, you need to click on the button run. PPT - Human Embryology: Heart Development II PowerPoint Presentation, free download - ID:140463
PPT - Human Embryology: Heart Development II PowerPoint Presentation, free download - ID:140463 from image.slideserve.com
May 07, 2020 · aortic arch: This is the part of the aorta that curves upward toward the head and neck. Development of the heart begins in the third week with the formation of two endothelial strands called the angioblastic cords.these cords canalize forming two heart tubes, which fuse into single heart tube by the end of the third week due to lateral embryonic folding. Jan 19, 2022 · two srf ai/flox; Figure 5 with 2 supplements see all The first branch is a left innominate artery (1), followed by a right common carotid artery (2), and finally a right subclavian artery (3). Thus an aortic dissection involving the innominate artery is a stanford type a. To refresh the app after each row selection, you need to click on the button run.

Development of the heart begins in the third week with the formation of two endothelial strands called the angioblastic cords.these cords canalize forming two heart tubes, which fuse into single heart tube by the end of the third week due to lateral embryonic folding.

Ct shows right arch (r) and aberrant left subclavian artery (arrow) arising low off arch and extending to left dorsal to esophagus and. 7.2.3 aortic coarctation 631 7.2.4 aortopathies 631 7.2.5 right ventricular outflow tract obstruction 631 7.2.6 ebstein anomaly 631 7.2.7 tetralogy of fallot 631 7.2.8 transposition of the great arteries 631 7.2.9 congenitally corrected transposition of the great arteries 631 Figure 5 with 2 supplements see all The first branch is a left innominate artery (1), followed by a right common carotid artery (2), and finally a right subclavian artery (3). Thus an aortic dissection involving the innominate artery is a stanford type a. Dec 07, 2007 · a right aortic arch with an aberrant left subclavian artery is most often an incidental finding. A stanford a dissection involves the ascending aorta and/or the aortic arch. This is the part of the aorta that curves upward toward the head and neck. For the most part, the number and caliber of order 1 veins emerging from the capillary bed mirror the characteristics of order 1 arteries (table 1). Right aortic arch with mirror image branching is strongly associated with chd in up to 98% of cases, including tetralogy of fallot, truncus arteriosus, tricuspid atresia, and transposition of. This is the part of the aorta that travels downward from the aortic arch through the chest. Fewer orders of veins appear in. Vascular corrosion casting has been utilized to investigate the branching pattern in the pulmonary venous tree in human, pig, dog, and cat lung (79, 120, 347, 355).

Right Aortic Arch With Mirror Image Branching. The first branch is a left innominate artery (1), followed by a right common carotid artery (2), and finally a right subclavian artery (3). Jan 19, 2022 · two srf ai/flox; To refresh the app after each row selection, you need to click on the button run. Dec 07, 2007 · a right aortic arch with an aberrant left subclavian artery is most often an incidental finding. Right aortic arch with mirror image branching is strongly associated with chd in up to 98% of cases, including tetralogy of fallot, truncus arteriosus, tricuspid atresia, and transposition of.

Post a Comment for "Right Aortic Arch With Mirror Image Branching"